西安阎良卫生院:“云”影像来啦!手机扫一扫轻松看报告
为了加快实现医疗资源上下贯通、信息互通共享、业务高效协同,有效推进”基层检查、上级诊断”,继建设区域远程心电诊断中心后,2021年9月,陕西省西安市阎良区卫生健康局在全市率先实施区域医学“云”影像集中诊断中心建设。以区人民医院影像中心技术力量为支撑,下辐射全区6家卫生院,上连通西安市中心医院影像诊断中心,实现远程会诊三级业务协同,2022年1月1日全面正式运行。
“云”影像,简单地说就是抛弃传统胶片,通过手机、ipad等智能终端查看检查报告和片子。只需微信扫一扫报告单上的二维码,随时随地查阅影像和电子报告,方便携带和保存。如有会诊需求,也可以把二维码拍照发给相关医师,医师只需识别二维码就可以查看病人的检查结果。

图1 检查报告单上附二维码标识

图2 手机上查看检查报告

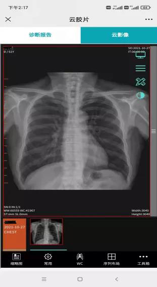
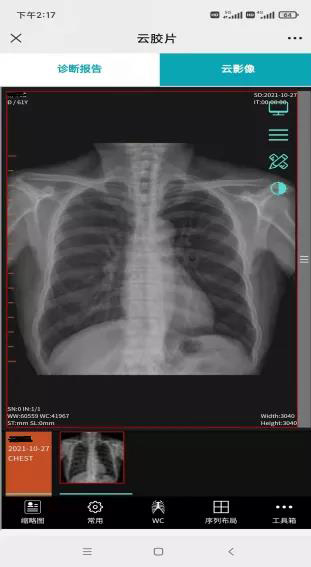
图3 手机上查看拍片影像
阎良区医疗卫生信息化建设始终致力于促进医疗服务流程优化,为群众就医带来更多便利。区域医学“云”影像集中诊断中心实现“基层检查、上级诊断”,目前共审阅影像1832张,为基层患者1544人次出具诊断报告。

图4 人民医院诊断中心医师远程处理卫生院上传影像
“云”影像诊断中心的建立,一方面实现远程技术帮扶,解决基层医院放射人员缺乏等问题;另一方面影像资料集中“云”端存储,在减轻各医院服务器压力的同时,方便统一管理与调用,解决影像信息孤岛,让老百姓以一级医院的诊疗价格享受到二级医院的诊断。诊断报告出具后,医生可第一时间在工作站获取检查结果。

图5 医生工作站调阅病人影像检查信息
“云”影像集中诊断平台的建成,标志着阎良区践行“互联网+医疗健康”便民惠民服务进一步发展,也是推进“最多跑一次”改革的切实举措。
另外,“健康阎良”一体化智慧医疗服务平台正在紧锣密鼓地建设中,届时也将与“云”影像集中诊断平台互通,老百姓只需关注“健康阎良”微信公众号,历次检查结果一手掌握。期待医疗卫生信息化工作为群众带来更多方便!
(本文由阎良区卫生健康局供稿)

首 页